Este artículo se publicó hace 19 años.
Células madre contra la distrofia muscular
Tejidos de pacientes corregidos genéticamente mejoran los síntomas en ratones

Los últimos avances en la obtención de células madre pluripotentes de origen somático pronostican un periodo fértil de resultados en el tratamiento experimental de enfermedades con estas armas terapéuticas, consideradas la piedra filosofal de la medicina regenerativa. Sin embargo, otros estudios recuerdan que la célula capaz de originar cualquier tejido no es la única vía de la medicina regenerativa; células madre adultas unipotentes, que sólo generan un tipo de tejido, pueden ser igualmente valiosas. Es el caso de las células progenitoras de músculo, que un equipo franco-italiano de científicos ha cosechado de enfermos de distrofia muscular de Duchenne (DMD) para tratar con éxito una versión de esta enfermedad en ratones.
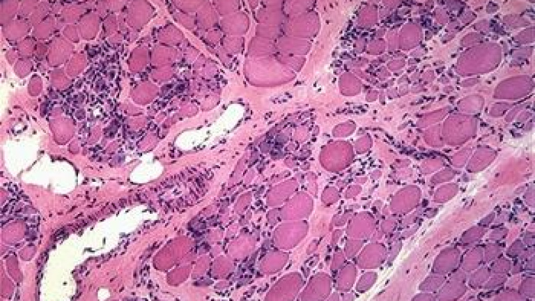
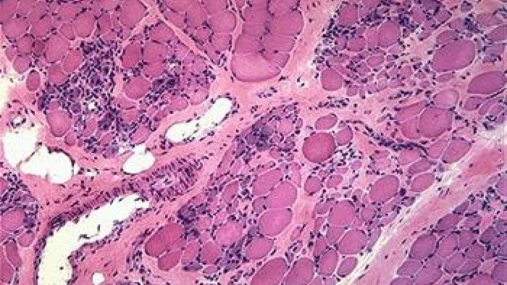
La DMD es una dolencia hereditaria incurable que produce un debilitamiento progresivo de los pacientes por degeneración de su estructura muscular. La causa es un defecto en el gen de una proteína del músculo llamada distrofina, normalmente por una mutación que cambia el marco de lectura de la información genética. El efecto es algo parecido a eliminar todos los espacios entre las palabras de un texto para luego distribuirlos de nuevo en lugar equivocado, impidiendo la lectura.
Terapia génica
El Instituto Généthon fue creado en 1991 por la Asociación Francesa contra las Miopatías, gracias a las donaciones a la maratón televisiva Téléthon. En este centro, el investigador francés Luis García ha obtenido anteriormente magníficos resultados en ensayos de terapia génica contra la DMD en ratones. Hace tres años, el equipo de García logró reparar la distrofina en ratones eliminando el bloque defectuoso, el que cambia el compás de lectura. El resultado era una proteína más corta, pero funcional.
El nuevo estudio que publica García hoy en Cell Stem Cell, en colaboración con el científico Yvan Torrente, de la Universidad de Milán (Italia), avanza un paso más. Torrente ha destacado en los últimos años por la investigación del tratamiento de la DMD con células madre adultas, pero la necesidad de emplear tejidos que contengan distrofina correcta, y por tanto de origen ajeno al paciente, causaría rechazo inmunológico y limitaría el poder curativo.
La experiencia de los dos equipos ofrecía una buena oportunidad de sinergia. La técnica de Torrente permitía rescatar de la sangre y el músculo de los pacientes los precursores celulares adecuados, que se distinguen por una etiqueta molecular llamada CD133. Una vez aisladas estas células, García pudo enmascarar el bloque defectuoso de la distrofina. Las células modificadas eran trasplantadas a ratones distróficos e inmunodeficientes por vía sanguínea o intramuscular. Los resultados son prometedores: las células curadas se instalan, el animal recupera la distrofina y, con ella, la morfología y la fuerza de sus músculos. El hallazgo funda esperanzas de futuros autotrasplantes en enfermos.
‘Biotiritas’ para el corazón infartado
Científicos del Imperial College de Londres presentan hoy, en una conferencia sobre células madre que se celebra en Coventry (Reino Unido), importantes avances en el diseño de parches celulares para la regeneración cardíaca tras un infarto. Lo más importante es el uso de nuevos biomateriales que prestan soporte a estas tiritas vivas, facilitan su adhesión al órgano y desaparecen una vez cumplida su función.
Comentarios de nuestros socias/os
¿Quieres comentar?Para ver los comentarios de nuestros socias y socios, primero tienes que iniciar sesión o registrarte.