Este artículo se publicó hace 17 años.
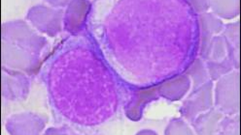
Una terapia cura al 94% de pacientes de un tipo de leucemia aguda
Los enfermos seguían libres de la enfermedad cinco años después de empezar a recibir la terapia experimental

Un tratamiento experimental que combina el trióxido de arsénico y el ácido retinoico, la forma ácida de la vitamina A, puede convertirse en la terapia de referencia para los pacientes de un tipo de leucemia aguda tras demostrar su capacidad de hacer remitir por completo la enfermedad en el largo plazo, según publica hoy la revista PNAS.
La terapia, que ya había demostrado antes su efectividad en el corto plazo, ha hecho posible que la inmensa mayoría de un grupo de 85 pacientes con leucemia promielocítica aguda, que supone el 10% de los casos de leucemia mieloide en adultos y el 1% de la misma enfermedad en niños, se hayan mantenido libres de la enfermedad a lo largo de los cinco años que ha durado el estudio. Los investigadores, encabezados por Zhu Chen, del Instituto de Hematología de Shanghai (China), dieron el tratamiento a los 85 pacientes, que estaban recién diagnosticados, desde abril de 2001 hasta diciembre de 2005.
Tras el ensayo, confirmaron que 80 de los pacientes el 94% del total habían experimentado una "remisión completa" de los síntomas de la enfermedad, sin presentar carcinomas de tipo secundario ni tampoco problemas en el corazón o los pulmones. Además, dos años después de la última dosis del nuevo tratamiento, los pacientes mantenían la concentración de arsénico por debajo de los límites de seguridad. "Los resultados confirman la elevada eficacia y baja toxicidad de este tratamiento en el largo plazo", indican los autores, que creen que esta terapia debe ser la primera opción para los pacientes de este tipo de leucemia.
Hace 50 años, la leucemia promielocítica aguda estaba considerada la peor de todas las leucemias, y de hecho no tenía tratamiento. Posteriormente la aparición de las antraciclinas en la década de los setenta del siglo pasado supuso un importante paso adelante, al permitir a los pacientes una supervivencia de hasta cinco años, aunque fue el empleo del ácido retinoico lo que revolucionó el abordaje de este carcinoma. Así, el uso conjunto de la vitamina A con la quimioterapia logró aumentar al 74% el porcentaje de los pacientes que lograban estar cinco años libres de la enfermedad.
Comentarios de nuestros socias/os
¿Quieres comentar?Para ver los comentarios de nuestros socias y socios, primero tienes que iniciar sesión o registrarte.