Congeló sus pulmones llenos de amianto

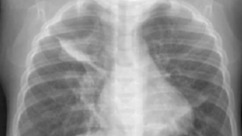
Esta es la historia de tres décadas de lucha. En 1980 Celestino Tolosa ingresó en el hospital con fiebre y tos. Fue diagnosticado de enfermedad pulmonar crónica, pero nunca determinaron qué se lo causó. En 2008 murió durante el trasplante. Y ahí es cuando comienza lo extraordinario de su historia. Su hija nos lo cuenta "él sentía que su cuerpo tenía que ser estudiado". Y así fue porque la última voluntad de Celestino fue que congelaran sus pulmones y es entonces cuando los peritos ven que estaban llenos de amianto. Gracias a esta prueba el Tribunal Superior de Justicia del País Vasco por fin lo reconoce, "hemos confirmado lo que él pensaba, que había enfermado trabajando", relata su hija. La seguridad social asumirá la pensión de viudedad de Kontxi, una mujer que ha sufrido mucho y que está a la espera de recibir la indemnización por parte de la empresa. Esa será la recompensa a la lucha de Celestino, que siempre supo que sus pulmones no mentían.
-Redacción-