• Hoy interesa
  • Alquiler Seguro
  • Carlos Cuerpo
  • Vox Girona
  • PP y Vox Extremadura
  • Pequeño comercio
  • Neoimperialismo de EEUU
  • Tierno Galván

Logo de Público Logo de Público

  • Inicia sesión
  • Mi cuenta
Público

Inicia sesión Mi cuenta
  • Tamaño
    de letra
  • Color
    de fondo
    • Política
    • Opinión
    • Tremending
    • Internacional
    • Sociedad
    • Mujer
    • Medio Ambiente
    • Memoria Pública
    • Culturas
    • Ciencias
    • Economía
    • Deportes
    • La buena vida
    • UwU
    • Psicología y Mente
    • Ahorro inteligente
    • En ruta
    • Yo animal
    • Públic
    • Vídeos
    • Podcasts
    • Viñetas
    • Especiales
    • El Diario Cantabria
    • Periódico CLM
    • El Asombrario
    • Sal y roca
    • Librújula
    • Nortes
    • Nueva Tribuna
    • Luzes
    • Página 12
    • Carretera y Manta
    • Inicia sesión
    • Mis datos
    • Cambiar contraseña
    • Newsletters
    • Mis comentarios
    • Especiales publicados
    • Ayuda
    • Cerrar sesión

Síguenos

  • Política
  • Opinión
  • Tremending
  • Internacional
  • Mujer
  • M. Ambiente
  • Memoria Pública
  • Culturas
  • Ciencias
  • Economía
  • Públic

Investigaciones científicas

  • Ciencias - 29/08/2018

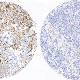
    Investigadores españoles hallan el primer 'atlas' de proteínas para pronosticar el cáncer de mama más agresivo

    EFE

    Tejido de mama de un paciente con recaída, con marcadores de fosforilación activa (color marrón izquierdo), en comparación con el tejido mamario de un paciente sin recaída y que no tiene estos marcadores activos (derecha). CNIO
  • Ciencias - 27/08/2018

    Un estudio refleja que la resaca dura "más de lo que se piensa"

    Europa Press

    Un estudio refleja que la resaca dura "más de lo que se piensa". Imagen de archivo
  • Actualidad - 22/08/2018

    Las perlas del general que exaltó a Franco y otras 4 noticias que debes leer para estar informado hoy, jueves 23 de agosto de 2018

    Público

    El general Fernández-Monzón. YT
  • Ciencias - 22/08/2018

    Descubren los restos de la primera nacida con madre y padre de especies distintas

    Público / EFE

    El pequeño fragmento de hueso (izquierda) de la hija de una neandertal y un denisovano se ha encontrado en la cueva de Denisova (derecha), en Rusia. / S. Pääbo et al.-Nature/PAET SB RAS, Sergei Zelensky
  • Ciencias - 16/08/2018

    Descifrado el genoma del trigo, "el cultivo más difundido del mundo"

    EFE

    Campo de trigo. EFE
    Publicidad
  • Sociedad - 20/07/2018

    La inspección de Trabajo investiga una oferta laboral para trabajar en un servicio de vientres de alquiler

    Público

    Vientres de alquiler
  • Ciencias - 08/07/2018

    Éxito en las primeras pruebas de una vacuna contra el sida

    Público

    vacuna
  • Ciencias - 07/07/2018

    Hallan en Asturias restos de los dinosaurios carnívoros más grandes de Europa

    Europa Press

    Se cree que los restos pertenecen probablemente a un Torvosaurus o Megalosaurus. Museo del Jurásico de Asturias
  • Deportes - 04/07/2018

    La Organización Nacional de Trasplantes investiga la donación de un hígado a Abidal

    Erly Quizhpe

    Abidal dio la gracias a su primo, el que oficialmente le donó parte de su hígado, el día que regresó a los terrenos de juego. (EFE | ARCHIVO)
  • Ciencias - 29/06/2018

    El microscopio más potente del mundo queda inservible tras el último terremoto en Japón

    EFE

    Imagen de daños ocasionados por el seísmo en Osaka (Tokio). REUTERS
    Publicidad
  • Tremending - 28/06/2018

    La explicación de un científico que desmiente el bulo de que ya existe una cura contra el cáncer que las farmacéuticas esconden

  • Ciencias - 20/06/2018

    No, el ser humano no se está volviendo cada vez más tonto

    Agencia SINC

    Alumnos y alumnas resolviendo un test. / Adobe Photostock
  • Ciencias - 04/06/2018

    La inmunoterapia consigue por primera vez eliminar un cáncer de mama

    EFE

    Científicos del IRB de Barcelona han identificado una proteína que mantiene dormidas las células metastásicas del cáncer de mama. EFE
  • Sociedad - 02/06/2018

    Investigadores españoles muestran cómo 'La Macarena' te puede salvar la vida

    Pablo Romero

    Imagen del estudio del uso de 'La Macarena' para mejorar la calidad de las compresiones realizadas durante la reanimación cardiopulmonar (RCP). |  Carrero E, et al.
  • Sociedad - 27/05/2018

    La precariedad de los jóvenes investigadores: ocho meses sin cobrar y sin trabajar por los retrasos del Gobierno

    Público

    Una de las investigadoras afectadas por los retrasos del Gobierno en las concesión de las ayudas para la formación de doctores.- CEDIDA
    Publicidad
  • Ciencias - 21/05/2018

    Ni revoluciones ni olas migratorias en la lenta evolución del 'Homo sapiens' en África

    Malen Ruiz de Elvira

    Entrada de la cueva de Panga ya Saidi, en Kenia. /MOHAMMAD SHOAEE
  • Sociedad - 08/05/2018

    El CGPJ abre una investigación sobre la filtración de datos personales de la víctima de 'La Manada'

    Público / EFE

    Cientos de personas frente al Palacio de Justicia de Navarra  EFE/ Jesus Diges
  • Ciencias - 02/05/2018

    Sale a la luz la última teoría de Stephen Hawking: pueden existir otros universos muy similares al nuestro

    EFE

    El físico británico Stephen Hawking. EFE/Archivo
  • Política - 30/04/2018

    El Supremo obliga al Gobierno a subir los sueldos de más de 870 investigadores científicos

    Público / EFE

    Fotografía de archivo de un centro de investigación español. EFE
  • Política - 24/04/2018

    Puigdemont en su 'War Room': "Los Mossos harán siempre lo que les digan los jueces"

    Carlos Enrique Bayo / Patricia López

    Fragmento de las anotaciones manuscritas por Josep Maria Jové, ex secretario general de Vicepresidencia de la Generalitat, en su agenda Moleskine intervenida por la Guardia Civil en un registro en su domicilio.
    Publicidad
  • Política - 02/04/2018

    Al Gobierno no le constan los informes policiales por los que se investiga en Marruecos a Helena Maleno

    Público

  • Ciencias - 26/03/2018

    Una esperanza para la ceguera asociada a la edad

    Malen Ruiz de Elvira

    Ejemplo de la visión de una persona afectada por degeneración macular. WEBMD
  • Ciencias - 23/03/2018

    La 'isla' de plásticos del Pacífico equivale ya a Francia, España y Alemania juntas

    Europa Press

    Aves en una playa cubierta de restos plásticos. THE OCEAN CLEANUP
  • Sociedad - 06/03/2018

    "España es un estado de excepción": el yo acuso de los investigadores en el exilio

    Henrique Mariño

    Investigadores españoles en Estados Unidos, junto a otros compañeros que no firman el manifiesto.
  • Ciencias - 01/03/2018

    Así se adaptan los árboles españoles a las sequías extremas

    Público

    Las especies adoptan diferentes estrategias para enfrentarse a los eventos climáticos extremos. EFE
    Publicidad
  • Ciencias - 28/02/2018

    Las primeras estrellas del Universo detectadas a 180 millones de años del Big Bang

    Europa Press

    Recreación artística de primeras estrellas. N.R.FULLER/NATIONAL SCIENCE FOUNDATION
  • Sociedad - 15/02/2018

    Investigadores de Barcelona avanzan en la cura del cáncer de colon

    Agencias

    El cáncer de colon es de los más comunes en España, con 41.000 nuevos casos anuales
  • Sociedad - 14/02/2018

    “Si los investigadores se quedaran en España los pacientes de enfermedades raras ganarían calidad de vida”

    María Lozano

    Post de agradecimiento de Domingo Gallardo en Change.org.
  • Política - 26/01/2018

    Cifuentes comparecerá el 2 de febrero sobre el caso Lezo en la Comisión de Investigación

    Europa Press

    La presidenta de la Comunidad de Madrid Cristina Cifuentes. EUROPA PRESS
  • Actualidad - 25/01/2018

    La muerte del militar que se estrelló por un fallo en un F18 y otras noticias de hoy en el informativo 'Público al Día' del 25 de enero

    Público

    'Público al Día' del 25 de enero.
  • Anterior
  • 1
  • …
  • 11
  • 12
  • 13
  • 14
  • 15
  • 16
  • 17
  • 18
  • Siguiente
Publicidad

Lo más leído

  • 1.

    Marc Giró deja RTVE por Atresmedia y estrenará su primer proyecto en laSexta este año

  • 2.

    Toni Cantó hunde la audiencia de su programa en À Punt hasta un 0% y desata las risas: "Se va a llevar por delante más chiringuitos que la subida del mar"

  • 3.

    Los antológicos bandos de Tierno Galván: así pasó a la historia "el mejor alcalde de Madrid"

  • 4.

    Mark Ruffalo se suma a las voces contra Trump en los Globos de Oro: "El peor ser humano que existe"

  • 5.

    "Reír por no llorar": el descacharrante análisis de Jon Stewart sobre la falta de excusas de Trump para atacar Venezuela

Publicidad
Público

DISPLAY CONNECTORS, SL.

  • Gestionar mi cuenta
  • Newsletters
  • Aportación puntual
  • Regala Público
  • Ayuda

Síguenos

  • Política
  • Opinión
  • Internacional
  • Sociedad
  • Feminismos
  • Medio Ambiente
  • Memoria Pública
  • Culturas
  • Ciencias
  • Economía
  • Públic
  • Vídeos
  • Viñetas
  • Últimas noticias
  • Tremending
  • La buena vida
  • Uwu
  • Psicología y Mente
  • Ahorro inteligente
  • En ruta
  • Yo animal
  • Carretera y manta
  • Otro modelo de vivienda
  • Contra el rearme
  • Autoritarismo y reacción
  • Todos los especiales
  • El Diario Cantabria
  • Periódico CLM
  • El Asombrario
  • Librújula
  • Nortes
  • Nueva Tribuna
  • Luzes
  • Página 12
  • Aviso legal
  • Política de cookies
  • Política de privacidad
  • Quiénes somos
  • Las banderas de Público
  • Contacto
  • Publicidad