• Hoy interesa
  • Ex directores generales del Juego
  • Listas de espera sanidad
  • Mojtaba Jameneí
  • Guerra de Irán
  • Sira Rego
  • Elecciones Castilla y León
  • Humor político

Logo de Público Logo de Público

  • Inicia sesión
  • Mi cuenta
Público

Inicia sesión Mi cuenta
  • Tamaño
    de letra
  • Color
    de fondo
    • Inicia sesión
    • Mis datos
    • Cambiar contraseña
    • Newsletters
    • Mis comentarios
    • Especiales publicados
    • Ayuda
    • Cerrar sesión
    • Política
    • Opinión
    • Tremending
    • Internacional
    • Sociedad
    • Feminismos
    • Medio Ambiente
    • Memoria Pública
    • Culturas
    • Ciencias
    • Economía
    • Deportes
    • La buena vida
    • UwU
    • Psicología y Mente
    • Ahorro inteligente
    • En ruta
    • Yo animal
    • Públic
    • Vídeos
    • Viñetas
    • Especiales
    • El Diario Cantabria
    • Periódico CLM
    • El Asombrario
    • Sal y roca
    • Librújula
    • Nortes
    • Nueva Tribuna
    • Luzes
    • Página 12
    • Carretera y Manta
    • Espacio Público
  • Google Play
  • App Store

Síguenos

  • Política
  • Opinión
  • Tremending
  • Internacional
  • Feminismos
  • Medio Ambiente
  • Memoria
  • Culturas
  • Ciencias
  • Economía
  • Públic

sinc

  • Ciencias - 31/10/2022

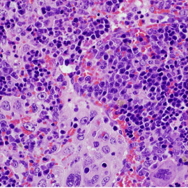
    Hallada una mutación genética clave en la aparición de linfomas y en el cáncer de pulmón

    Sinc

    Imagen de microscopía de un bazo que presenta un linfoma desarrollado por ratones que expresan una mutación oncogénica en el gen VAV1.
  • Ciencias - 21/10/2022

    Un 'retrato' de los Pilares de la Creación lleno de estrellas y cargado de detalles

    Sinc

    La NASA muestra la formación de los espectaculares 'Pilares de la creación'
  • Ciencias - 19/10/2022

    Así era la primera familia neandertal

    Sinc

    Así era la primera familia neandertal
  • Sociedad - 22/08/2022

    El sargazo: la macroalga desatada que amenaza al Caribe mexicano

    Andrea J. Arratibel (SINC)

    Las macroalgas afectan cada vez más a las regiones costeras del Caribe
  • Sociedad - 17/08/2022

    El contacto piel con piel es la causa más probable de transmisión de viruela del mono

    Sinc

    (31/05/22) Varios técnicos de laboratorio trabajan con pruebas PCR para la viruela del mono en el Hospital público Gregorio Marañón, a 31 de mayo de 2022, en Madrid.
    Publicidad
  • Ciencias - 16/08/2022

    El arte puede salvarnos la vida

    Aser García Rada (SINC)

    (9/8/22) La exposición escultórica "Oceans. Collections. Reflections" en el Museo Etnográfico de Viena, a 9 de agosto de 2022.
  • Ciencias - 26/07/2022

    Descubierto un agujero negro inactivo fuera de nuestra galaxia

    Sinc

    Ilustración del sistema binario VFTS 243, compuesto por una estrella azul caliente y un agujero negro. Los tamaños no son a escala, ya que las estrella es unas 200 000 veces más grande que el agujero.
  • Ciencias - 04/07/2022

    Feliz cumpleaños bosón de Higgs

    Enrique Sacristán (SINC)

    04/07/2022 - Un candidato a bosón de Higgs registrado en el detector ATLAS. Cuatro rastros de muones (en azul) emergen del punto de interacción.
  • Ciencias - 12/05/2022

    Los grupos favorecidos perciben erróneamente la igualdad como una amenaza

    Eva Rodriguez (Sinc)

    Igualdad
  • Ciencias - 26/07/2021

    Antiintelectualismo y covid-19: ¿vuelve el culto a la ignorancia?

    Sergio Ferrer (SINC)

    La desconfianza en las opiniones expertas en la pandemia puede reducir la percepción del riesgo que supone el coronavirus y la adherencia a las medidas.
    Publicidad
  • Ciencias - 26/07/2021

    Cómo recolocar una orquesta para reducir el riesgo de covid-19

    Sinc

    Cómo recolocar una orquesta para reducir el riesgo de covid-19
  • Sociedad - 09/04/2021

    Barricadas para frenar el coronavirus donde la ayuda no llega

    Adeline Marcos (SINC)

    Vacuna, Covid-19, México
  • Actualidad - 02/12/2020

    Marco Tedesco: "El Ártico tal y como lo conocemos va a desaparecer"

    Sergio Guinaldo (SINC)

    Tedesco lleva más de 15 años estudiando los efectos de la crisis climática sobre Groenlandia en el terreno.
  • Ciencias - 20/11/2020

    La crisis climática aumenta el riesgo de infecciones en la fauna salvaje

    Adeline Marcos (SINC)

    El bisonte americano (Bison bison) es un hospedador de vida silvestre susceptible a la enfermedad bacteriana brucelosis. El bisonte americano (Bison bison) es un hospedador de vida silvestre susceptible a la enfermedad bacteriana brucelosis.
  • Ciencias - 17/11/2020

    En busca de los olores perdidos de Europa

    Federico Kukso (SINC)

    Odeuropa es la primera iniciativa europea que utiliza inteligencia artificial para investigar el olor como patrimonio cultural. Matija Strlic, profesor de Ciencias del Patrimonio del University College London, oliendo un libro antiguo en los Archivos Naci
    Publicidad
  • Ciencias - 30/10/2020

    La historia evolutiva de perros y humanos no siempre ha ido de la mano

    Sergio Guinaldo (SINC)

    Según este estudio, el origen del perro habría tenido lugar hace 20.000 años.
  • Ciencias - 30/10/2020

    Así logra el pulpo saborear algo con solo tocarlo

    Adeline Marcos (SINC)

    Así logra el pulpo saborear algo con solo tocarlo
  • Ciencias - 22/10/2020

    La coraza de este escarabajo inspira el diseño de nuevas estructuras aeronáuticas

    Sinc

    Ejemplar de la especie Phloeodes diabolicus. / David Kisailus
  • Ciencias - 19/10/2020

    Fatoumata Kebé: "Volveremos a la Luna por política y dinero, no por la ciencia"

    Cristina Sáez (Sinc)

    Fotografía de Fatoumata Kebé. / Laurence Geai
  • Ciencias - 19/10/2020

    Rachel Wetts: "Las voces en contra de la acción climática están sobrerrepresentadas en los medios de EEUU"

    Eva Rodriguez (Sinc)

    Rachel Wetts investigadora del Instituto de Medio Ambiente y Sociedad en la Universidad de Brown (EEUU). / Foto cedida por la autora
    Publicidad
  • Ciencias - 12/10/2020

    Javier Olivera: "Muchas personas mayores están pasando estos meses en casa con síntomas graves de enfermedad mental"

    Jesús Méndez (SINC)

    Javier Olivera, psiquiatra y secretario de la Sociedad Española de Psicogeriatría. / Fotografía: Roger Navarro
  • Ciencias - 08/09/2020

    Innovaciones nacidas de la desgracia: el legado que cada epidemia nos dejó

    Federico Kukso (SINC)

    Innovaciones nacidas de la desgracia: el legado que cada epidemia nos dejó
  • Ciencias - 02/09/2020

    La fusión de dos agujeros negros en otro supermasivo desconcierta a la comunidad astrofísica

    Sinc

    Interpretación artística del aspecto que podría presentar GW190521 . Raúl Rubio / Virgo Valencia Group
  • Sociedad - 07/02/2020

    Las madres protegen a sus bebés gracias a cambios en el cerebro

    Sinc

    Durante el embarazo se modifica la anatomía del sistema cerebral del placer y del refuerzo. / Pixabay
  • Ciencias - 03/02/2020

    Una nueva chicharra 'francotiradora' cautiva por sus colores

    Sinc

    La nueva especie de chicharra Cavichiana alpina (arriba) y la chicharra descubierta en 2014, Cavichiana bromelicola, de características similares (abajo). / Gabriel Mejdalani
    Publicidad
  • Ciencias - 29/01/2020

    "Para envejecer de forma saludable es importante cuidar el estilo de vida"

    Público

    Pura Muñoz en la ceremonia de entrega de los Premios Rei Jaume /Premios Rei Jaume / Bosch
  • Ciencias - 23/01/2020

    Marchando un café expreso con matemáticas

    Sinc

    taza de café
  • Ciencias - 23/01/2020

    Un estudio en ratones revela cómo el estrés llena el pelo de canas

    Verónica Fuentes (SINC)

    Estrés ¿enemigo o aliado en nuestro día a día?
  • Ciencias - 20/01/2020

    CP-Walker: entrenamiento robótico para niños con parálisis cerebral

    Sinc

    Figura ilustrativa de la plataforma CP-Walker y el programa de entrenamiento propuesto durante esta investigación. / Bayón et al. Journal of NeuroEngeneering and Rehabilitacion (2018) 15(69).
  • Ciencias - 17/01/2020

    Confirmado: el impacto de un asteroide acabó con los dinosaurios

    Sinc

    Confirmado: el impacto de un asteroide acabó con los dinosaurios
  • Anterior
  • 1
  • 2
  • 3
  • Siguiente
Publicidad

Lo más leído

  • 1.

    El tuit sobre la agenda de Ayuso en Nueva York que 'se le ha borrado' a la Comunidad de Madrid: encuentro con el alcalde de Sevilla y espectáculo de flamenco

  • 2.

    La guerra de Trump y Netanyahu amenaza con disparar la inflación y sacude la economía mundial: "Prepárense para lo impensable"

  • 3.

    Opinión

    La acelerada desaparición de la derecha española

    PorFrancisco Jurado

  • 4.

    La IA de Elon Musk confunde el impacto de un misil en Beirut con... las Fallas de València: "Imaginad el resto de verificaciones"

  • 5.

    Israel vuelve a usar fósforo blanco en Líbano: ¿Qué es y por qué es ilegal su uso contra civiles?

Publicidad
Público

DISPLAY CONNECTORS, SL.

  • Gestionar mi cuenta
  • Newsletters
  • Aportación puntual
  • Regala Público
  • Ayuda

Síguenos

  • Política
  • Opinión
  • Internacional
  • Sociedad
  • Feminismos
  • Medio Ambiente
  • Memoria Pública
  • Culturas
  • Ciencias
  • Economía
  • Públic
  • Vídeos
  • Viñetas
  • Últimas noticias
  • Tremending
  • La buena vida
  • Uwu
  • Psicología y Mente
  • Ahorro inteligente
  • En ruta
  • Yo animal
  • Carretera y manta
  • Otro modelo de vivienda
  • Contra el rearme
  • Autoritarismo y reacción
  • Turismocracia
  • Todos los especiales
  • El Diario Cantabria
  • Periódico CLM
  • Espacio Público
  • El Asombrario
  • Librújula
  • Nortes
  • Nueva Tribuna
  • Luzes
  • Página 12
  • Aviso legal
  • Política de cookies
  • Política de privacidad
  • Quiénes somos
  • Las banderas de Público
  • Contacto
  • Publicidad
  • Google Play
  • App Store