Este artículo se publicó hace 10 años.
Una 'bala mágica' contra el cáncer de pulmón
Nuevos estudios representan un punto de inflexión en los esfuerzos para controlar esta enfermedad, reduciendo un 50% el riesgo de progresión de la enfermedad o de muerte.

-Actualizado a
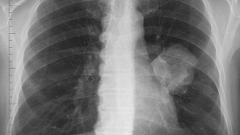
El anticuerpo monoclonal Pembrolizumab es eficaz en el tratamiento de primera línea de pacientes con cáncer de pulmón no microcítico (CPNM) metastásico, según los resultados de dos estudios presentados en el Congreso anual de la Sociedad Europea de Oncología Médica (ESMO). El tratamiento con esta “bala mágica” puede producir una mejora significativa con respecto a la quimioterapia en una amplia gama de pacientes.
En este sentido, estos estudios pueden representar un punto de inflexión en los esfuerzos internacionales para controlar el cáncer de pulmón. En concreto, en el estudio ‘Keynote-024’, cuyos datos han sido publicados en The New England Journal of Medicine y en el que se evaluó a pacientes con CPNM escamoso y no escamoso cuyos tumores expresaban niveles elevados de PD-L1, este fármaco de MSD produjo una reducción del 50 por ciento del riesgo de progresión de la enfermedad o de muerte y una reducción del 40 por ciento del riesgo de muerte en comparación con el doblete de quimioterapia con platino, el tratamiento de referencia actual.
Se trata del único tratamiento anti-PD-1 que hasta la fecha ha conseguido demostrar una supervivencia libre de progresión (SLP) y una supervivencia global (SG) mejores que la quimioterapia como tratamiento de primera línea del CPNM escamoso y no escamoso en pacientes con tumores que expresan niveles elevados de PD-L1 y que no tienen alteraciones genéticas en el EGFR o en el ALK.
Asimismo, en la cohorte ‘G’ del estudio ‘Keynote-021’, publicada en ‘The Lancet Oncology’ y formada por pacientes con CPNM no escamoso metastásico con diferentes niveles de expresión de PD-L1, ‘Keytruda’ más quimioterapia (carboplatino más pemetrexed) alcanzó una tasa de respuesta objetiva (TRO) del 55 por ciento, frente a una TRO del 29 por ciento con la quimioterapia sola (el tratamiento de referencia), y redujo el riesgo de progresión de la enfermedad o de muerte en un 47 por ciento.
De hecho, es el único tratamiento anti-PD-1 que hasta la fecha ha sido más eficaz en combinación con quimioterapia que la quimioterapia sola en pacientes que reciben tratamiento de primera línea. “La quimioterapia lleva siendo el tratamiento estándar para la mayoría de los pacientes con cáncer de pulmón no microcítico avanzado durante décadas, pero las tasas de supervivencia siguen siendo bajas,” ha declarado Perlmutter.
MSD ha presentado los datos del estudio ‘Keynote-024’ a las autoridades sanitarias de Estados Unidos, Europa y Japón. La FDA ha concedido al fármaco el estatus de ‘gran avance terapéutico’ y va a revisar su registro de forma prioritaria. La fecha prevista en que tomará su decisión sobre el producto es el 24 de diciembre de 2016.
Asimismo, esta empresa farmacéutica está realizando actualmente múltiples estudios con fines de registro con este anticuerpo monoclonal en monoterapia y como tratamiento de combinación en pacientes con CPNM, entre ellos el ensayo ‘Keynote-189’ fase 3 que está actualmente en curso. El programa de desarrollo clínico comprende más de 350 ensayos clínicos en más de 30 tipos de tumores, entre ellos más de 100 ensayos en los que se está estudiando este tratamiento en combinación con otras terapias anticancerosas.
Comentarios de nuestros socias/os
¿Quieres comentar?Para ver los comentarios de nuestros socias y socios, primero tienes que iniciar sesión o registrarte.