Este artículo se publicó hace 19 años.
La máquina de la verdad, versión 2.0
Un psiquiatra aplica la resonancia magnética para fijar la inocencia o la culpabilidad

Susan Hamilton está decidida a demostrar su inocencia. Escocesa, de 42 años, ha cumplido una condena de tres años en prisión en Reino Unido bajo la acusación de haber envenenado a su hija, una niña enferma terminal. La pequeña había ingresado en urgencias, donde los médicos le detectaron una masiva presencia de sodio en la sangre. La fiscalía acusó a Hamilton de inyectar sal en el estómago de la víctima. Su madre negó los hechos y perdió el caso, en 2003, pero sigue resuelta a limpiar su nombre y su reputación.
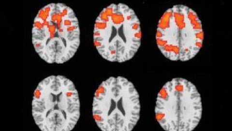
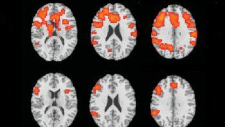
Ha encontrado un aliado en la ciencia. El pasado verano, Hamilton se sometió a una prueba con la última tecnología de resonancia magnética funcional (fMRI o functional magnetic resonance imaging), un revolucionario avance científico para distinguir la verdad de la mentira. La técnica consiste en un escáner de cuerpo entero conectado a micrófonos, altavoces y un teclado de ordenador. El analista interroga al sujeto mientras la cámara del escáner recoge imágenes de la mente.
La sangre no miente
El profesor Sean Spence, director del experimento practicado en Hamilton, explica: “Cuando utilizas fMRI, el escáner detecta cambios en las propiedades magnéticas de la sangre. Los estudios realizados hasta la fecha coinciden en sugerir que cuando una persona miente, la mente envía más sangre al área ventrolateral del cortex. Se detecta más actividad en esa zona”.
Spence, catedrático de psiquiatría en la Universidad de Sheffield, al norte de Inglaterra, lleva siete años experimentado la técnica con alumnos de su departamento. Su ensayo con Hamilton, cuyos resultados se publicarán en la revista European Psychiatry, es probablemente el primero que se aplica en un caso real con connotaciones judiciales. De hecho, los abogados de Hamilton estudian el documento con vistas a su posible utilización en el recurso contra la condena de 2003.
“El trabajo básico está concluido, y esta técnica podría aplicarse en procesos judiciales para resolver, junto a otros factores, cuestiones de inocencia o culpabilidad”, asegura, y añade: “Científicamente es válido, aunque hay que desarrollarlo más, aplicarlo a un mayor número de personas, para verificar su exactitud”.
Este profesor de psiquiatría general reconoce que su investigación “no prueba que Hamilton sea inocente, pero sí demuestra claramente que su mente responde como si fuera inocente”. Dedujo esta conclusión de las distintas reacciones detectadas por el escáner cada vez que la mujer explicaba su versión de los hechos y respondía a las opiniones de la acusación. “Le hicimos cuatro escáneres y las respuestas fueron siempre consistentes con su versión de la verdad”, confirma.
Una productora de televisión financió el ensayo aplicando la técnica a Hamilton y a dos hombres, como controles del experimento. El programa se emitió por el canal británico Channel 4. “Uno de los varones dio resultados malísimos, pero cuando finalmente cambió sus respuestas, las imágenes sugirieron que sólo entonces decía la verdad”, recuerda el académico.
Hamilton sigue reclamando su inocencia ante la justicia británica. Pero, al menos, ha ganado ya la baza popular, porque, como afirma el profesor de Sheffield, “se sintió fuertemente reivindicada por la técnica”. “Para ella fue un proceso muy importante”, insiste Spence. La tecnología del fMRI, añade, “tiene el potencial de reducir el número de casos de
errores judiciales”.
Mejor que el polígrafo
De acuerdo con Spence, métodos más tradicionales para detectar la verdad –entre ellos, el polígrafo– no son suficientemente fidedignos. “Las estimaciones de su fiabilidad varían tremendamente, del 25% al 90%. No existe el consenso sobre su efectividad. Es lógico, porque el polígrafo detecta ansiedad, pero no mide el engaño. Con nuestra técnica realmente nos acercamos a la biología de la mentira”, defiende el director de uno de los cinco grupos que investigan las posibilidades del fMRI en este ámbito en todo el mundo.
Comentarios de nuestros socias/os
¿Quieres comentar?Para ver los comentarios de nuestros socias y socios, primero tienes que iniciar sesión o registrarte.