• Hoy interesa
  • Elecciones Azcón
  • PSOE Aragón
  • Pobreza vivienda
  • 'Realities'
  • ICE
  • Francesca Albanese
  • Crisis y revoluciones
  • Elecciones Portugal
  • Estrenos cine

Logo de Público Logo de Público

  • Inicia sesión
  • Mi cuenta
Público

Inicia sesión Mi cuenta
  • Tamaño
    de letra
  • Color
    de fondo
    • Política
    • Opinión
    • Tremending
    • Internacional
    • Sociedad
    • Mujer
    • Medio Ambiente
    • Memoria Pública
    • Culturas
    • Ciencias
    • Economía
    • Deportes
    • La buena vida
    • UwU
    • Psicología y Mente
    • Ahorro inteligente
    • En ruta
    • Yo animal
    • Públic
    • Vídeos
    • Podcasts
    • Viñetas
    • Especiales
    • El Diario Cantabria
    • Periódico CLM
    • El Asombrario
    • Sal y roca
    • Librújula
    • Nortes
    • Nueva Tribuna
    • Luzes
    • Página 12
    • Carretera y Manta
    • Espacio Público
    • Inicia sesión
    • Mis datos
    • Cambiar contraseña
    • Newsletters
    • Mis comentarios
    • Especiales publicados
    • Ayuda
    • Cerrar sesión

Síguenos

  • Política
  • Opinión
  • Tremending
  • Internacional
  • Mujer
  • M. Ambiente
  • Memoria Pública
  • Culturas
  • Ciencias
  • Economía
  • Públic
  • Ciencias

  • Investigación
  • Tecnología
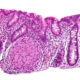
  • Uno de cada tres pacientes de Enfermedad Inflamatoria Intestinal tardan más de un año en ser diagnosticados

    Público

    Biopsia endoscópica donde se puede apreciar inflamación granulomatosa del colon en un caso de enfermedad de Crohn. WIKIPEDIA
  • Las primeras estrellas se formaron tan solo 250 millones de años después del Big Bang

    EFE

    Cúmulo de galaxias MACS J1149.5 + 2223 tomadas con el Hubble. ALMA, Hubble, Hashimoto et al.
  • ¿Por qué las personas mayores viven cada vez más en solitario?

    Público

    l estudio se basó en entrevistas de más de una hora con grupos diversos de personas mayores de 63 años. JOSÉ JAVIER
  • Condenan a Sony Mobile a pagar más de seis millones de euros a la SGAE

    EFE

    Foto de archivo de una feria de tecnología en Berlín. / EFE
  • Uber iniciará las pruebas de vuelos de su 'taxi volador' en 2020 y lanzará el servicio en 2023

    Europa Press

    Prototipo del taxi volador de Uber. | EP
    Publicidad
  • El ADN de una web de datos genealógicos lleva al arresto de un violador 30 años después

    Malen Ruiz de Elvira

    adn
  • Grandes tramposos de la ciencia

    Agencia SINC

    El biólogo austriaco Paul Kammerer fue un apasionado de la zoología.
  • Sale a la luz la última teoría de Stephen Hawking: pueden existir otros universos muy similares al nuestro

    EFE

    El físico británico Stephen Hawking. EFE/Archivo
  • El consumo de panga expone a niveles de mercurio superiores a los permitidos

    Agencia SINC

    Panga.
  • Vivir con asma: cuando respirar te ahoga

    Verónica Fuentes (SINC)

    Los efectos del tabaco sobre el sistema respiratorio afectan también a personas con asma. / Pixabay
    Publicidad
  • Navegar por millones de estrellas de la Vía Láctea ya es posible

    Malen Ruiz de Elvira

    Navegar por millones de estrellas de la Vía Láctea ya es posible
  • Telegram se cae en Europa por un sobrecalentamiento en sus servidores

    Público

    Telegram. /REUTERS
  • El Seprona lleva al juzgado a un granjero y un empresario por la muerte de cerdos en el Ebro

    Eduardo Bayona

    Animales atrapados y abandonados en granjas de Remolinos y Villafranca del Ebro, (Zaragoza) durante las riadas por el desbordamiento del río Ebro. AITOR GARMENDIA (TRAS LOS MUROS)
  • Un exsoldado de EEUU en Afganistán recibe el primer trasplante de pene y escroto

    EFE

    Fotografía cedida que muestra a los doctores (i-d) Brandacher Gerald, Wei-Ping Andrew Lee, Richard Redett, Cerise M.C. y Damon Cooney, del equipo de la Facultad de Medicina de la Universidad Johns Hopkins con sede en Baltimore (Maryland), donde se realiz
  • La mayoría de los católicos en España, a favor de la regulación de la eutanasia

    Agencia SINC

    Dos prácticas ilegalizadas en España; la eutanasia y el suicidio médico asistido.- EFE
    Publicidad
  • Una empresa crea un "sello de calidad" para profesionalizar la actividad de los influencers

    Público / Europa Press

    instagram
  • Cómo hacer que una máquina reconozca la música casi como tú y como yo

    Público

    Imagen de unos auriculares. PXHERE (CC0)
  • Enseñan a un robot a armar él solo una silla de Ikea en menos de 20 minutos

    Pablo Romero

    El sistema robótico en plena faena mientras arma la silla de Ikea. NTU
  • El robot que arma una silla de Ikea en 20 minutos

    NTU

    El robot que arma una silla de Ikea en 20 minutos
  • Un asteroide como el que arrasó Tunguska 'roza' la Tierra con solo 21 horas de aviso

    Henrique Mariño

    El asteroide pasó entre la Tierra y la Luna el 15 de abril, solo un día después de ser descubierto. / EP
    Publicidad
  • La sopa de plásticos, una amenaza global para la cadena alimentaria

    Malen Ruiz de Elvira

    Isla de plásticos detectada el año pasado frente a las costas de Honduras por la fotógrafa Caroline Power, que ha dado lugar a un incidente diplomático con Guatemala.
  • El precio de los tratamientos contra el cáncer se ha duplicado en diez años

    público | agencias

    Los pacientes deben hacer frente a otros gastos derivados del cáncer que la Seguridad Social no contempla
  • Madrid emite el doble de gases de efecto invernadero de los que se contabilizan

    Agencia SINC

    Vista de Madrid por la salida de la carretera a Valencia. EFE
  • La robotización amenaza a uno de cada siete puestos de trabajo en todo el mundo

    Diego Herranz

    Los robots hacen carcasas del automóvil híbrido Prius de Toyota Motor Corp en la línea de montaje de la planta Tsutsumi en Toyota/Reuters
  • Hallan una vía para detener la progresión del Parkinson y revertir sus síntomas

    Público

    El aislamiento de ancianos, otra forma de maltrato social. / EFE
    Publicidad
  • La atracción fatal de los zorros hacia las carreteras

    Agencia SINC

    La atracción fatal de los zorros hacia las carreteras. / SINC
  • Localizada en Madrid una bacteria que obligó a arrancar un millón de olivos en Italia

    EFE

    Un campo de olivos.
  • Zuckerberg asume toda la culpa por el caso de Cambridge Analytica ante el Senado de EEUU

    EFE

    Mark Zuckerberg durante su comparecencia en el Senado estadounidense. | REUTERS
  • Mark Zuckerberg, sobre la filtración de datos: "Fue mi error y lo siento"

    Público | EFE

    El dueño de Facebook,  Mark Zuckerberg, a su llegada a la oficina del senador Bill Nelson en Washington. | LEAH MILLIS (REUTERS)
  • Los neandertales se adaptaron mejor a su entorno por ser feos

    EFE

    Replica de neandertales. | ARCHIVO (EFE)
  • Anterior
  • 1
  • …
  • 88
  • 89
  • 90
  • 91
  • 92
  • 93
  • 94
  • …
  • 300
  • Siguiente
Publicidad

Lo más leído

  • 1.

    Rufián y el PP se enzarzan tras la comparecencia de Feijóo: "Va muy bien ser cuñado, primo o lo que sea de Ayuso"

  • 2.

    Pagar por un techo o comer: el alquiler empuja a la pobreza a cuatro de cada diez inquilinos

  • 3.

    De Lehman Brothers a la covid o Trump: por qué las crisis actuales ya no encienden revoluciones

  • 4.

    El PSOE confía en evitar el desplome de Pilar Alegría tras una campaña embarrada por la derecha

  • 5.

    Las redes celebran los abucheos a Israel y J.D. Vance en la inauguración de los Juegos Olímpicos de Invierno: "El mundo reacciona"

Publicidad
Público

DISPLAY CONNECTORS, SL.

  • Gestionar mi cuenta
  • Newsletters
  • Aportación puntual
  • Regala Público
  • Ayuda

Síguenos

  • Política
  • Opinión
  • Internacional
  • Sociedad
  • Feminismos
  • Medio Ambiente
  • Memoria Pública
  • Culturas
  • Ciencias
  • Economía
  • Públic
  • Vídeos
  • Viñetas
  • Últimas noticias
  • Tremending
  • La buena vida
  • Uwu
  • Psicología y Mente
  • Ahorro inteligente
  • En ruta
  • Yo animal
  • Carretera y manta
  • Otro modelo de vivienda
  • Contra el rearme
  • Autoritarismo y reacción
  • Turismocracia
  • Todos los especiales
  • El Diario Cantabria
  • Periódico CLM
  • Espacio Público
  • El Asombrario
  • Librújula
  • Nortes
  • Nueva Tribuna
  • Luzes
  • Página 12
  • Aviso legal
  • Política de cookies
  • Política de privacidad
  • Quiénes somos
  • Las banderas de Público
  • Contacto
  • Publicidad